Salud & Deportes
Neurocisticercosis: el parásito cerebral que afecta a miles en zonas rurales

Un joven fue diagnosticado con parásitos cerebrales en México. Conoce cómo la neurocisticercosis amenaza la salud en comunidades con bajo saneamiento.
Un caso que refleja una realidad silenciosa
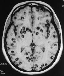
El caso de un joven atendido por fuertes dolores de cabeza y convulsiones reveló una enfermedad conocida como neurocisticercosis, provocada por larvas del parásito Taenia solium.
Estas larvas se alojan en el cerebro, causando inflamación, daño neuronal y, en casos graves, convulsiones o la muerte.
Una enfermedad asociada a la pobreza y el saneamiento deficiente
La infección se transmite por el consumo de agua o alimentos contaminados o por contacto directo con materia fecal infectada.
Según la OMS, se trata de una de las principales causas de epilepsia adquirida en el mundo.
En México, los casos se concentran en comunidades rurales, donde el acceso a agua potable y drenaje es limitado.
“La higiene personal y la cocción adecuada de los alimentos son la mejor forma de prevención”, advierten especialistas en salud pública.
Prevención y conciencia
Las autoridades recomiendan:
- Lavarse las manos antes de comer o preparar alimentos.
- Evitar consumir carne de cerdo sin cocción completa.
- Mejorar el control sanitario y el tratamiento de aguas residuales.
La neurocisticercosis no solo es un problema médico, sino social y educativo, que requiere políticas públicas y campañas comunitarias permanentes.
🧠 Comparte este artículo y ayuda a crear conciencia sobre la importancia de la higiene y la prevención en zonas vulnerables.
