Barbie Ferreira sorprende con su regreso al modelaje y su cambio físico en el Victoria’s Secret Fashion Show 2025, marcando una nueva era de confianza y...
Valentina Castro se convierte en la primera mujer colombiana y afrocolombiana en desfilar para Victoria’s Secret, símbolo de diversidad y orgullo latino. Un paso histórico para...
Anok Yai brilló en el Victoria’s Secret Fashion Show 2025, imponiendo elegancia y fuerza como símbolo de diversidad y empoderamiento femenino. El regreso de un ícono...
El DIF Municipal de Tochimilco realiza talleres de autoempleo con maquillaje artístico inspirado en el Día de Muertos, fomentando la creatividad y la generación de ingresos...
Hace 72 años se reconoció el voto femenino en México. Un paso histórico que marcó la lucha por la igualdad, la justicia y la participación política...
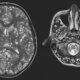
Un joven fue diagnosticado con parásitos cerebrales en México. Conoce cómo la neurocisticercosis amenaza la salud en comunidades con bajo saneamiento. Un caso que refleja una...
El Ayuntamiento de Huaquechula invita al Taller de Elaboración de Hojaldras este 17 de octubre en la Casa de Cultura “Huilican” de San Juan Huiluco. Descubre...
El Ayuntamiento de Tochimilco mejora la movilidad en Santiago Tochimizolco con la pavimentación de la calle Hombres Ilustres. Una obra que impulsa el desarrollo y la...
YouTube presenta una caída masiva a nivel mundial. Google aún no emite comunicado oficial sobre el fallo. Usuarios reportan interrupciones globales. Un apagón digital en la...
Kiana Palacios hace historia al convertirse en la máxima goleadora del América Femenil. Conoce su trayectoria, récords y legado en la Liga MX Femenil. Una historia...