El 16 de octubre de 1923 nació Disney. A 102 años, la compañía sigue inspirando al mundo con su magia, creatividad e innovación sin límites. El...
La historia real de Little Joe, un canario minero del siglo XIX, símbolo de valentía y humanidad en tiempos de peligro bajo tierra. El héroe alado...
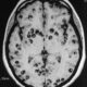
Un joven fue diagnosticado con parásitos cerebrales en México. Conoce cómo la neurocisticercosis amenaza la salud en comunidades con bajo saneamiento. Un caso que refleja una...
México aplicará 26 aumentos en impuestos y derechos en 2026. Descubre qué productos subirán de precio y cómo impactará en tu economía. Ajustes fiscales en el...
OpenAI habilitará contenido erótico en ChatGPT para usuarios mayores de edad con verificación. La medida abre debate sobre ética, privacidad y libertad digital. Un cambio histórico...
Un portavoz del crimen organizado difundió un video en San Luis Potosí señalando al gobierno estatal por la muerte de un policía municipal. Autoridades investigan. Difunden...
Un youtuber dedicó seis meses y 1,500 dólares a crear un sándwich desde cero. Su experimento mostró el verdadero valor del trabajo detrás de los alimentos....
El Vive Latino 2026 revela su cartel oficial con Lenny Kravitz, Los Fabulosos Cadillacs y The Smashing Pumpkins. Conoce fechas, precios y venta de boletos. El...
Motorola lanza el primer teléfono celular comercial, el DynaTAC 8000X, y marca el inicio de una nueva era en la comunicación inalámbrica global. Una innovación que...
México hace historia: un joven mexicano se corona campeón mundial de Beyblade X 2025 en Tokio. Orgullo gamer y nuevo referente del talento nacional. El campeón...